患者さん/25歳 男性
バスケットボールのプレイ中に負傷。
損傷の経緯
バスケットボール中、着地時に相手と接触。左足を捻転し、前十字靱帯断裂、外側半月板断裂、大腿骨の外側の軟骨を欠損しました。ひざに血がたまりパンパンに腫れ、松葉杖が必要でした。

損傷の経緯
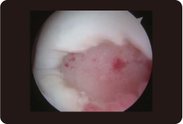
関節鏡による検査をおこなったところ、図のように一部陥没を伴う軟骨の欠損(約5.0cm2)が確認されました。

手術経過
図のとおり、関節鏡手術で、左の大腿骨の荷重がかからないところ2箇所から0.4gの健常な軟骨を採取。

軟骨培養~手術
4週間の細胞培養の後、患者さん自身の細胞で作られた培養軟骨を欠損部分に移植、骨膜でふたをして縫合しました。陥没の箇所には、患者さんの左大腿骨の健常な箇所から採取した骨軟骨柱1 本を移植しました。前十字靱帯はハムストリング腱を用いて再建し、半月板も縫合しました。

リハビリテーション
術後1週から可動域訓練を開始し、軟骨の柔らかさに合わせて、4週から1/3荷重、5週から2/3荷重、6週から全荷重と負荷をかけていきました。6週で退院し、術後1年間、定期的なリハビリテーションと診察を受けました。

●1年後の移植箇所は写真のとおりで、移植された軟骨は、周りの健常な軟骨と同じくらいの硬さになっていました。
ひざの機能を調べるスコアは、術前27点でしたが、1年後には87点まで回復していました。
現在は、仕事(フォークリフトの運転など)に復帰し、日常生活に問題はありません。最近はまたバスケットボールを始めています。